A씨(74·여)는 좌심방과 좌심실 사이 판막(승모판막) 기능이 떨어지는 ‘승모판막 부전’ 환자다. 승모판막이 제대로 닫히지 않으면서 혈액이 좌심실에서 좌심방으로 역류해 호흡곤란, 피로, 부종 등 증상을 겪고 있다. 이 때문에 A씨는 오래도록 약물로 치료해왔다. 그러나 날이 갈수록 약물로 조절되지 않으면서 호흡곤란을 겪는 일이 잦아졌다. 수술하면 될 일이지만, 고령이 발목을 잡았다. 더군다나 그는 고혈압, 당뇨, 만성 신부전 등 기저질환도 함께 갖고 있다. 상황이 이런 가운데, 최근 A씨는 피로감이 더욱 늘었다. 체액 저류로 인한 부종도 심해졌다. 호흡곤란이 악화된 A씨는 결국 인천세종병원 응급실을 찾았고, 경피적 승모판막 성형술(마이트라클립 시술)을 받고 3일 후 퇴원했다.
A씨는 “나이가 들면 당연히 판막 등 신체기능이 떨어지기 마련인데, 여러 가지 이유로 수술하기가 참 어렵다”며 “약도 안 듣고 ‘꼼짝없이 죽는구나’ 했는데, 안전하게 시술하고 회복해 3일 만에 퇴원하다니 꿈만 같다”고 말했다.
이처럼 인천세종병원에서 시행하는 마이트라클립 시술이 고령의 승모판막 부전 환자에게 적합한 치료법으로 주목받고 있다.
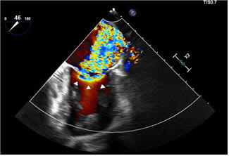
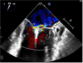
인천세종병원에 따르면 승모판막 부전 환자를 대상으로 허벅지 정맥에 미세도관(카테터)을 넣어 심장까지 접근해 승모판막의 전엽과 후엽을 클립으로 고정하는 마이트라클립 시술을 시행하고 있다. 카테터 끝에 장착된 클립 장치를 이용해 느슨하거나 제대로 닫히지 않는 승모판을 고정하면서 혈액 역류를 차단하는 방식이다. 모든 시술 과정은 심장초음파 및 X-ray 영상 장비로 실시간 관찰하며 진행된다.
|
|
이 같은 마이트라클립 시술은 심장중재시술, 심장초음파, 마취, 순환(간호사), 기술 지원 등 최소 5인의 전문 의료진 협업이 요구된다. 심장 치료 기술과 전문성이 부족하면 시술 시도 자체가 불가능하다.
인천세종병원에서는 심장내과 최락경 부장과 김형윤 과장, 김민정 과장, 이수연 과장이 마이트라클립 시술을 주도하고 있다.
김형윤 과장은 “마이트라클립 시술은 환자의 심장 기능을 빠르게 개선하고, 삶의 질을 높이는 데 중요한 역할을 한다”며 “개흉 수술이 아닌 비침습적 방법으로 진행하기 때문에 시술 후 회복 속도가 빠르다. 특히 시술 과정에서 발생할 수 있는 위험이 낮아 고령자나 기저질환 환자에게 적합한 치료 방법”이라고 설명했다.
|







